
강아지의 고관절 탈구나 관절염에 시행되는 FHNO 수술. 수술부터 회복 관리까지 정리했습니다.
| 대퇴골두 절골술(FHNO)이란?
강아지의 고관절 탈구, 골절, 관절염 등으로 인한 심한 통증을 완화하기 위해 시행되는 수술입니다.
이 수술은 대퇴골의 머리와 목 부분을 절제하여 병든 관절 대신 통증 없는 '거짓 관절'을 형성하는 것을 목표로 합니다.
1. 어떤 강아지에게 적합할까?
FHNO는 체중이 20kg 이하인 소형견이나 중소형견에게 적합하며, 활동성이 높은 강아지일수록 수술 후 예후가 좋은 편입니다.
반려견이 수술 전보다 더 나은 이동성을 갖게 되고, 통증 없이 일상생활을 할 수 있도록 도와줍니다.
고관절 통증으로 인해 일상적인 걷기나 점프조차 힘든 강아지에게는 매우 실질적인 해결책이 될 수 있습니다.
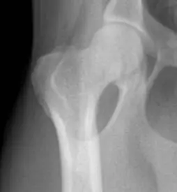
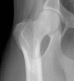
2. 고관절 구조와 수술의 원리
고관절은 대퇴골의 머리(볼)가 골반의 소켓에 맞물려 있는 구조로, 강아지의 뒷다리를 지지하는 중요한 관절입니다. 하지만 이 부위에 손상이 생기면 통증과 운동 제한이 심해지며, 보행이 어려워질 수 있습니다.
FHNO 수술을 통해 대퇴골 머리를 절제하면 볼-소켓 구조는 사라지지만, 시간이 지나면서 근육과 섬유 조직이 새로운 연결을 형성해 '거짓 관절' 역할을 하게 됩니다.
이 과정은 수술 후 자연스럽게 형성되며, 재활 운동을 통해 더욱 안정적으로 만들어질 수 있습니다.


3. 수술과 회복 과정
수술은 전신 마취 하에 진행되며, 수술 당일 또는 다음 날 퇴원이 가능합니다.
대부분의 반려견은 수술 후 6주 내외에 회복되지만, 회복 기간 동안의 관리가 매우 중요합니다.
특히 수술 후 재활운동 여부에 따라 회복 속도와 결과가 달라질 수 있습니다.
4. 수술 후 2주간의 집중 관리
첫 2주간은 절제된 조직이 치유되는 시기로, 통증 관리와 안정이 필요합니다.
2~6주차에는 점차 활동량을 늘려야 하며, 물속 걷기나 경사로 걷기 같은 운동을 통해 근육을 강화하고 위축을 방지하는 것이 좋습니다.
단, 무리한 운동은 금물이며, 개별 상태에 맞춘 재활이 필요합니다. 전문 동물 물리치료사의 지도를 받는 것도 좋은 선택입니다.
5. 수술 전 고려사항과 수의사 상담
FHNO는 비교적 간단하고 경제적인 수술로, 반려견의 삶의 질을 향상시키는 데 효과적입니다.
하지만 반려견의 체중, 근육 상태, 질환 원인 등을 고려해 수의사와 충분히 상담한 뒤 결정해야 합니다.
특히 이미 고관절 이외 부위에 관절염이 있는 경우, 수술 후 재활 계획을 사전에 준비해 두는 것이 회복에 도움이 됩니다.
6. 보호자가 기억해야 할 점
고관절 통증으로 힘들어하는 강아지가 있다면, 대퇴골두 절골술이 좋은 선택이 될 수 있습니다.
적절한 시기에 수술과 재활을 진행한다면, 반려견은 통증 없이 다시 활기찬 삶을 되찾을 수 있습니다.
수술 후 관리 요령, 걷기 운동, 수중 재활 등의 실질적인 도움을 꾸준히 제공하는 것이 보호자의 역할입니다.
함께 읽으면 좋은 글
관절염에 걸린 강아지를 위한 생활 보조용품 추천 5가지
관절염이 있는 강아지를 위한 실용적인 보조용품 5가지를 소개합니다. 반려견의 일상을 더 편안하게 도와주세요. 노령견이나 관절이 약해진 반려견, 특히 뒷다리 힘이 약해진 강아지는 일상생
myrealsimple.com
강아지 영양제 해외직구, NASC 인증마크를 꼭 확인하세요
해외직구로 강아지 영영제를 구매하신다면 NASC 인증마크를 확인하세요. 안전성과 신뢰성을 확보한 반려동물 건강기능식품 고르는 법을 소개합니다. 반려견의 건강을 위해 해외직구로 보조제를
myrealsimple.com
노령견의 수면장애 원인과 대처법 총정리
노령견 수면장애, 단순 노화일까요? 밤에 깨는 원인부터 영양제, 약물 대처법까지 꼭 알아야 할 내용들을 정리했습니다. 노령견의 수면장애는 보호자에게 큰 스트레스를 줄 수 있는 문제입니다.
myrealsimple.com
참고자료: Wendy Brooks, DVM, DABVP 'Hip Dislocation in Dogs and Cats' 2025
댓글로 궁금한 내용을 남겨주시면
확인 후 빠르게 답변드릴게요 🙂
'반려동물 건강관리' 카테고리의 다른 글
| 노령견 행동 변화, 단순 노화 아닐 수도 (2) | 2025.05.03 |
|---|---|
| 강아지 오메가3 효능과 급여법 (0) | 2025.05.02 |
| 관절염에 걸린 강아지를 위한 생활 보조용품 추천 5가지 (2) | 2025.04.30 |
| 강아지가 천둥, 불꽃놀이 소리 무서워할 때, 이렇게 대처하세요 (2) | 2025.04.29 |
| 강아지 기침이 멈추지 않나요? 개의 만성 기관지염 원인과 관리법 (1) | 2025.04.28 |
댓글